I might not have been in that picture. But there I am on the cover of the winter 2025 issue of Island Scene sitting on a stool. What’s remarkable is what happened before that day.
On Oct. 4, 2024, I suffered an ischemic stroke, caused by a blood clot in my neck that affected blood flow to the right side of my brain. The clot was successfully removed within hours after I reached the emergency department at The Queen’s Medical Center. But there was damage.
![]()
Frickman progressed from using a walker to a walking stick.
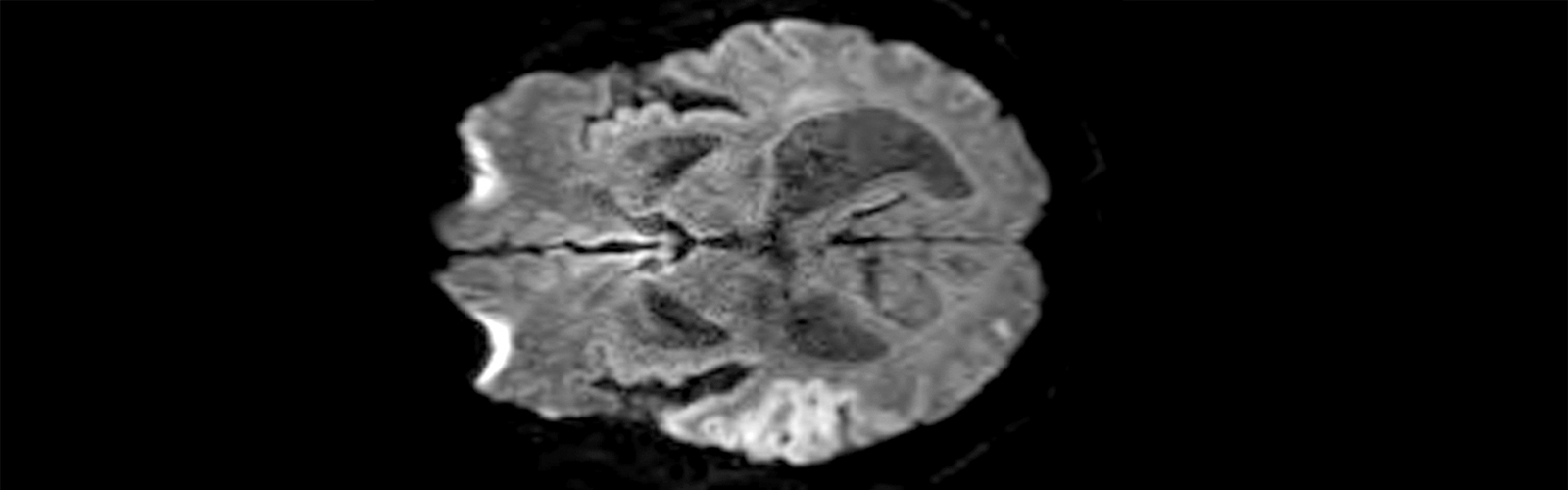
Later on, a doctor looked at the computed tomography angiography scan of my brain and said to me, “You should not be able to do anything with your left arm,” pointing to the scan showing a dark area without signs of blood flow on the right side of the brain, which controls movement on the left side.
Thankfully, I could move my left arm and hand, but not with complete control. I was warned to be careful near a hot stove, since my arm might flop on it if I’m not paying attention.
After release from the hospital came bed rest. Then the work of testing and therapy. And continued rest and recovery. My supervised therapy lasted four months. There’s a lot of therapy homework that I continue to do.
My experience may be similar to others who have survived a stroke. Patients can expect types of testing and therapy:
Neurological: I was put through a battery of tests at the Queen’s Neuroscience Institute. Some of them had to do with memory and language fluency. I didn’t pass. Not surprising, since immediately after the stroke, I had trouble remembering numbers. My phone number. My employee number so I could sign in to my computer at work. My PIN to use my debit card.
Physical therapy: Going into it, I thought my walking was pretty good. Testing proved otherwise. I didn’t pass and was deemed at high risk of falling. I was required to use a walker for a few weeks, before graduating to using a walking stick with continued therapy.
-1.jpg)
Physical therapy and exercise have been crucial for recovery.
Occupational therapy: This allowed me to use my left arm better and improved coordination in my hand, making grabbing objects, getting things out of my pockets, and opening jars easier.
Speech therapy: My speaking was hurt by weakness on the left side of my face that affected proper tongue movement, as well as the neurological damage. Reading out loud and working on phrasing helped to smooth out the speech. It also helped with the other neurological issues that caused the failed neuro test.
Recovery has not always been rapid. Sometimes things improve. Sometimes they flatten out. It can be like riding a roller coaster.
I’m told by doctors that complete healing could take up to a year. Talking to my stroke survivors support group, I realize it may take longer. Complete healing may never come at all.
![]()
Gathering to learn from members of Queen’s Stroke Survivor support group.
But it’s not all bad news. I eventually passed the physical therapy test at the end of my therapy. I passed an hours-long neurological test, scoring in upper percentages, even compared to the general population. There’s numbness in my left arm and hand, but I manage it with rest.
I’ve developed better eating habits that led to a healthy weight loss of 35 pounds in about six months. Always looking for new games to learn to keep my brain working, I taught myself how to play mahjong. And I joined my work colleagues at our department holiday party at Aiea Bowl. Even threw a strike on my first shot.
No stroke recovery is the same. Others will struggle more than I have. I was blessed.
Oh, and that cover photo was taken less than six weeks after the stroke, my first week back to work.
My physical therapist said most people take six months or more to go back to work. But I really wanted to get back to it and keep my skills sharp and relearn everything I needed to (like how to type this story). For me it was a good decision.
Read more
Frickman talks his emergency room stroke nurse pracictioner about what stroke patients can expect when they arrive at the hospital in stroke: every second counts.
SU25F